躺着进来,走着回去,脑梗死重症患者送来两面锦旗
2024-01-10 15:51:18宣传科
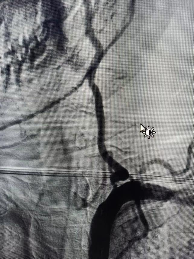
术前造影提示左侧椎动脉起始部严重狭窄
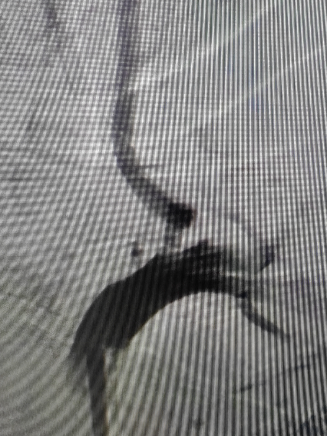
术后提示左侧椎动脉起始部狭窄较前明显改善

该患者的救治,充分体现了我院脑病科团队的协作能力及综合救治能力,该科室通过中西医结合治疗的方式,大大地提高了患者的存活率和治愈率,同时也为急性脑梗死的患者提供了更多可能。
脑病科简介
毕节市中医医院脑病科是毕节市中医脑病诊疗中心,贵州省重点专科建设单位,贵州省中医脑病医疗质量控制中心副主任单位。科室擅长运用中医,中西医结合治疗方法治疗神经系统疾病,在脑血管病的诊疗、康复、预防方面形成了自己的技术专长和优势。刘开明主任、王玕、张祥军、张鑫医师熟练开展了脑血管造影、血管内介入治疗、静脉溶栓、MCS(运动皮层刺激疗法)、舌咽四步针刺法、经鼻导尿管球囊扩张治疗等技术;郭虎军主任熟练掌握神经电生理检查技术;对神经系统疾病的诊疗具有较系统的诊疗技术;刘开明主任、郭虎军主任具有深厚的中医功底,中西医结合治疗神经系统疾病经验丰富,疗效肯定。形成独特的中西医结合诊疗神经系统等疾病的诊疗技术。
01
诊疗范围
中医、中西医结合治疗方法诊疗脑系(神经系统)疾病,如头痛、头晕、失眠、中风偏瘫后遗症、脑血管疾病(脑梗死、脑出血)、帕金森病、痴呆、三叉神经痛、面瘫、面肌痉挛、多发性硬化、脑外伤后综合征、带状疱疹神经痛、后遗神经痛及神经系统疑难杂症等。
就诊地点:脑病科病房(住院楼四楼)、脑病科专科门诊(门诊楼一楼)
咨询电话 0857—8312973


